top of page
手のひらにコブや索状物が発生し指が伸びなくなる疾患です。以前は手術だけが唯一の治療法でしたが、最近は注射治療で良好な治療成績が得られております。
指を曲げる腱がトンネル(腱鞘)に引っかかり痛みと引っかかり感がでる。妊娠中と出産後1年間、更年期、指をたくさん使う職業の人に多い。
第一関節(DIP関節)が壊れるのがへバーデン結節、第二関節(PIP関節)が壊れるのがブシャール結節。注射や手術で症状の緩和が期待できます
手関節や手指に石灰が沈着し、その部分の発赤、疼痛、が出現します。
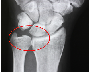
手関節の中央にある月状骨が壊れる病気です。大工さん等の手をたくさん使う人に発症しやすいといわれております
親指を伸ばす腱が使いすぎなどで腫れ腫れて、腱が通るトンネル(腱鞘)に引っかかり痛みが出た状態です。
手首のやや肘寄りの部位で発生する腱鞘炎。腱同士が擦れて炎症を起こし、運動痛と轢音(ギシギシ、ギーギー)が生じる。インターセクション症候群ともいう。
轢音性腱周囲炎の代表的疾患。
手関節尺側にあるギヨン管で尺骨神経が圧迫されて発症します
日本手外科学会パンフレットより
bottom of page

















